SMM-специалист, 19 лет, Без опыта, Частичная занятость
İş axtarıram part time
SMM – Social Media Marketing xidməti
- Brend və bizneslər üçün sosial şəbəkə strategiyasının hazırlanması
- Kontent planı və rubrikaların qurulması
- Vizual üslub konsepti: ...
Bağ evlərində bağban işi axtarıram.Budama,dərmanlama,bağın təmizlənməsi kimi işləri görürəm.ailəmlə və ya tək qala bilərəm. Bagda heyvanlarin olmasida xos olardi. bağ sahibi ilə şərtlərinə bağlıdı...
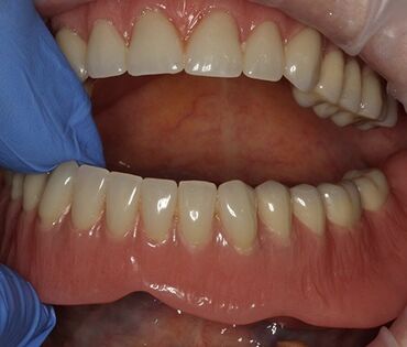
Diş texniki sahəsində ilkin təcrübəm var əvvəlki illərdə diş
Diş texniki sahəsində ilkin təcrübəm var əvvəlki illərdə diş protezləri sahəsində laboratoriyada təcrübə keçmişəm. Hazırda bəzi biliklərim bir qədər köhnəlib, amma əsas iş proseslərini bilirəm və y...
Ищу работу официантки, полная или не полная занятость, стаж работы в ресторанной сфере 20 лет, знание языков английский, русский, Азербайджанский. возраст 39 лет, могу также присмотреть за животным...
Salam aspazam. daha yaxşı olarki hövsan ərazisi olsun. kafeyə aşpaz kimi lazım olsam nömrəm var ciddi iwci axtaranlar əlaqə saxlasın mili mətbəx və qutapida bacaram iwe ehtiyacım var oncelikden çox...
Графический дизайнер, 40 лет, Более 5 лет опыта, Полный рабочий день
Texniki Dizayner
ProPrintMMC (PAKETAZ) - 2023 - 2025
Qrafik və texniki Dizayner
Envix Print -2023-2023
Qrafik və texniki Dizayner
CAPAR - poliqrafiya - 2021 -2022
Qrafik və texniki Dizayner
AKQQF (Az...
Peşəkar evdə baxım xidməti
- Yaşlı qadın xəstəyə istəyərəm baxmaq
- Dərmanların vaxtında verilməsi və nəzarəti
- Tansiyon, nəbz, şəkər kimi əsas göstəricilərin yoxlanılması
- Psixoloji dəstək və ...
Salam👋🏻Onlayn (evdən) çalışa biləcək xanımlar axtarılır. Satış işi
Salam👋🏻Onlayn (evdən) çalışa biləcək xanımlar axtarılır. Satış işi deyil.
QAZANACAQSIZ: 500+ azn maaş, 1000$, hədiyyələr
ÇALIŞMAQ ÜÇÜN LAZIMDIR: internet, telefon, sosial şəbəkələr
Təhsil, tə...
SMM-специалист, 23 лет, Более 5 лет опыта, Удаленная работа
Sosial media platformalarının idarə olunması (Instagram, Facebook, TikTok)
Kontent planlaması və strategiya qurulması
Canva və digər qrafik dizayn alətləri ilə vizual kontent hazırlanması
Reklam...
2 aydan 6 yawa qeder dayelik iş axtariram, uşaqa öz evindede baxa
2 aydan 6 yawa qeder dayelik iş axtariram,
uşaqa öz evindede baxa bilerem ve öz evimdede baxa bilerem.. 994997811016
Qalici dayə 2500 .
Günlük daye 1200.
2 aydan 6 yawa qeder dayelik iş axtariram, uşaqa öz evindede baxa
2 aydan 6 yawa qeder dayelik iş axtariram,
uşaqa öz evindede baxa bilerem ve öz evimdede baxa bilerem.. 994997811016
Qalici dayə 2500 .
Günlük daye 1200.